ブログ
Blogブログ
2025年も大変お世話になりました。
2025年12月29日
こんにちは院長の中野です。
2025年の診療は昨日の矯正診療日で終了となりました。
なかの歯科に関わってくれたすべての方に心から感謝いたします。
開院して7年。振り返ると、自分自身や医院の在り方、そして私たちを取り巻く歯科界の環境にも確かな変化を感じています。
超高齢社会の進展や社会保障費の問題など、歯科医療に求められる役割は、単なる「治療」から「全身の健康を支える予防」へと、より切実なものに大きくシフトし始めています。
私自身、今年はセミナーを受講する中で、自分より年下の講師が教壇に立つ姿を目の当たりにする機会がありました。「自分もそれなりの年齢になったのだな」とふと立ち止まるような思いもありましたが、同時に、若い世代の情熱や新しい感性に触れることは、自分の中に眠っていた好奇心を刺激されるような、新鮮でわくわくする体験でもありました。
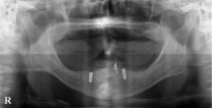
今回のブログではインプラントオーバーデンチャーの紹介もしようと思います。
普段から通院していただいている優しい患者様に許可をいただいたので写真を掲載します。
もともと下の歯が1本だけ残った状態の上に総入れ歯(総義歯)を使用していただいていたのですが、安定感をより増やすために、数年前に残っている歯と義歯にアタッチメントとよばれる器具を設置しました。
下の歯の総義歯は上に比べると安定感がないケースが多く見られます。上の総義歯が安定するときは特にそう感じるかもしれません。
そこで、アタッチメントをつけたところ義歯は大変安定するようになりました。
しかし大きな義歯を1本の歯で支えると歯には負担が大きいため、時間をかけて徐々に動揺するようになってきました。
そこでかねてからお話をしていたインプラントを2本埋入し、残っている歯の負担軽減と、義歯の安定を図る計画を立てました。



治療期間中は気になることも多かったかと思いますが、今は「よく噛めるよ」と言っていただく笑顔が素敵でうれしいです。
歯が一本もない状態でインプラントを6本ほど埋入し、歯を12本ほどいれるようなインプラントの治療もありますが、このインプラントオーバーデンチャーの利点としては、インプラントの使用本数が抑えられるため費用が抑えられることが挙げられます。
この治療はあまり認知されていないようで、ここの地域では使用している患者様にお会いしたことがないのですが、義歯が安定する大変優れた治療だと感じています。
写真のインプラントに使用したアタッチメントはロケーターです。
欠点としては、義歯自体は劣化しやすいため10年もすると変色や故障したり、口の中の変化を理由に替える必要があることや、よく噛めるために義歯が故障する可能性も高くなります。
場合によっては義歯自体に金属を多く使用し剛性を上げることをご提案することもあります。
インプラント治療には事前の検査や、説明を受けていただきご納得いただいてから開始しますので興味あることがあればなんでも聞いてください。
ここまで読んでくださった勇者の皆様ありがとうございます。風邪が流行っていますので、お体に気を付けて年末年始をお過ごしください。

この冬植えたばかりの植栽がこれから成長していくように、自分や医院も成長し続けたいです。自分や医院にご満足いただけなかった方もいたと思いますが、よかったらまた来てください。

